دستگاه اولتراسوند بی سیم آرایه محدب الکترونیکی برای تلفن همراه

ویدیوهای دیگر
May 20, 2023
Brief: Discover the Electronic Convex Array Wireless Ultrasound Device for Mobile Phone, a portable and hi-resolution ultrasound system compatible with iOS and Android devices. Perfect for medical professionals in abdomen, gynecology, and obstetric applications.
Related Product Features:
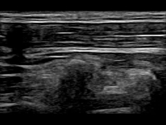
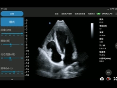
  • Wireless ultrasound probe Lite31C with 128-element electronic convex array for high-resolution imaging.
  • Compatible with iOS and Android devices via Wi-Fi for seamless connectivity.
  • Features multiple scanning modes including B, C, M, PW, and PD for versatile use.
  • Adjustable frequency settings (2/3.6/5MHz) and depth up to 37.8cm for precise imaging.
  • Built-in battery, multichannel beamformer, and prescan converter for enhanced performance.
  • Includes measurement tools for length, area, circumference, and obstetric calculations.
  • Lightweight and portable design with a 60mm head radius and 60-degree scan angle.
  • Comes with charging cable, user manual, and warranty card for complete convenience.
Faqs:
  • What devices are compatible with the Electronic Convex Array Wireless Ultrasound Device?
    The device is compatible with commercial off-the-shelf (COTS) Android and iOS mobile devices, including iPhones and iPads.
  • What are the primary applications of this wireless ultrasound probe?
    This probe is ideal for abdomen, gynecology, obstetric, urology, and kidney examinations.
  • How does the wireless connectivity work for this ultrasound device?
    The device uses Wi-Fi-based technology to communicate directly with your smartphone or tablet, allowing for easy image export and display.